レントゲンで「異常なし」
言われても続く痛みに、
エコーを活用して原因を詳しく調べます。

「レントゲンでは異常がないので、しばらく様子を見ましょう」と言われても、痛みや腫れが続く場合があります。
「骨折はないと言われたのに痛い」「しびれが治らない」など、原因がはっきりしない不調は不安が大きいものです。
当院では、エコーを使って筋肉・腱・靭帯・神経などを詳しく確認し、“見えにくい痛みの原因”を的確に見極めることを重視しています。
レントゲンでは捉えきれない微細な損傷が確認できることがあり、診断だけでなく治療の際にもエコーを用いることで、より安全で精度の高い治療が可能になります。

また、すべての注射・処置をリアルタイムで確認しながら行い、できるだけ細い針を使用して痛みを最小限に抑えるよう工夫しています。
痛みが苦手な方でも安心して受けていただける環境を整えています。

エコー検査とは

Echography

エコー検査は、超音波の反射を利用して体内の様子を画像化する検査です。
骨だけでなく、筋肉・腱・靭帯・神経・血管など、さまざまな組織をリアルタイムで観察できるため、「なぜ痛いのか」「しびれの原因はどこか」を詳しく調べることができます。

エコー検査の特徴

  • 筋肉・靭帯・腱・神経などの軟部組織の損傷を正確に確認できる
  • 組織を動かしながら観察でき、回復の経過も視覚的に評価できる
  • レントゲンでは見つからない微細な骨折やひびも確認可能
  • 被曝がなく、痛みのない安全な検査
  • 関節や筋肉の炎症の程度を把握できる
  • 注射の際には、神経や血管を避けながら安全に施行できる

エコーガイド下注射

US-Guided 
Injection

ハイドロリリース (筋膜・神経リリース注射)

エコーで痛みの原因となる部位を確認しながら、筋膜や神経周囲に薬液(主に生理食塩水+少量の局所麻酔薬)を注入し、癒着を剥がして筋肉や神経の動きを改善する治療法です。
肩こり・腰痛・しびれなどの原因が「筋膜や神経の癒着」によることも多く、癒着を解消することで痛みが軽減し、動きがスムーズになります。

プロロセラピー (組織修復注射)

高張ブドウ糖液を注射して意図的に局所炎症を引き起こし、その後の組織修復や成長因子の活性化を促して再生をサポートする治療です。主に海外で広く行われ、日本でも徐々に導入が進んでいます。

主な適応疾患

慢性的な腱炎、腱付着部炎(テニス肘、ゴルフ肘、アキレス腱炎、ジャンパー膝、足底腱膜炎など)、靭帯損傷による関節不安定(膝関節靭帯損傷、足関節捻挫など)、そのほか肉離れ、シンスプリント、腱板損傷など

注意点・副作用

  • 注射後3〜4日、炎症に伴う痛みが続くことがあります
  • NSAIDs・アイシングは避けてください(効果を弱める可能性)
  • 痛みが強い場合はアセトアミノフェン(カロナール)がおすすめです

関節内注射

関節炎や変形性関節症、肩関節周囲炎などで起こる関節内の炎症や癒着に対し、局所麻酔薬やヒアルロン酸などを関節内へ注射します。

神経ブロック

首・腰・手足の神経痛に対し、局所麻酔薬をエコーガイド下で注入する治療です。
神経・血管・筋肉の位置をリアルタイムで確認できるため、より安全で精密な治療が可能です。

動注治療

痛みの原因となる「モヤモヤ血管(新生血管)」に対し、エコーで位置を確認しながら抗生物質を血管に直接注入し、詰まらせる治療法です。これにより炎症や痛みを和らげることができます。

当院で行っているエコーガイド下注射

treatment

首・肩の痛み

首や肩のこり、上肢のしびれ、寝違え、肩の動かしづらさなどに対して、

  • 頚椎椎間関節/頚椎神経根注射
  • 斜角筋ブロック
  • 大後頭神経ブロック(後頭部の痛み)
  • 副神経・肩甲背神経注射(肩こりの痛み)
  • 肩関節内注射、肩峰下滑液包注射(四十肩・五十肩、腱板断裂)
  • 腋窩神経・肩甲上神経注射(肩のこわばり)
  • 石灰沈着性腱炎の石灰吸引
  • サイレントマニピュレーション(四十肩・五十肩)

腰・股関節の痛み

腰・お尻・太もも・足の痛み、しびれに対して、

  • 腰椎椎間関節ブロック
  • 仙腸関節ブロック
  • 腰椎神経根ブロック、梨状筋ブロック(坐骨神経痛など)
  • 仙骨裂孔ブロック
  • 大腿神経ブロック、外側大腿皮神経ブロック、上殿神経ブロック
  • 股関節内注射

膝の痛み

変形性膝関節症、スポーツによる痛み、オスグッド病などに対して、

  • 膝関節内注射
  • 内側側副靱帯滑液包注射
  • 鵞足部・膝蓋下脂肪体・膝蓋靱帯への注射
  • 神経ブロック(内側上膝神経、内側下膝神経、腓骨神経、伏在神経)

肘・手の痛み

  • テニス肘・ゴルフ肘への注射
  • 手根管症候群、肘部管症候群、ギヨン管症候群への注射
  • ばね指、ドゥ・ケルバン腱鞘炎、尺側手根伸筋腱炎への注射
  • TFCC損傷への注射

足・スポーツ外傷

  • アキレス腱炎・足底腱膜炎への注射
  • モートン神経腫への注射
  • 肉離れへの注射

動注療法

へバーデン結節、母指CM関節症、腱鞘炎、テニス肘、ゴルフ肘、野球肘、ジャンパー膝、アキレス腱炎、足底腱膜炎、外反母趾など

当院でのエコー画像
活用例・適応症状

小児単純性
股関節炎

左右を比較すると関節内水腫の貯留が確認できます。

1歳
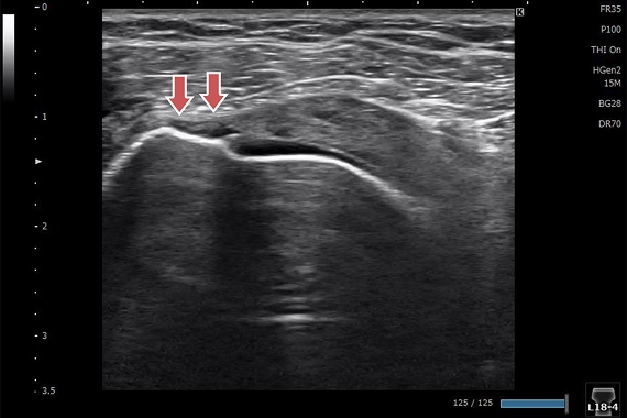
橈骨遠位端骨折

レントゲンでは分からない微小な骨折を認めます。

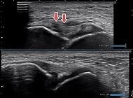
野球肘

左右を比較すると離断性骨軟骨炎の所見がはっきりわかります。

前距腓靱帯損傷

レントゲンでは評価できない靭帯損傷の有無、ゆるみの状態がわかります。

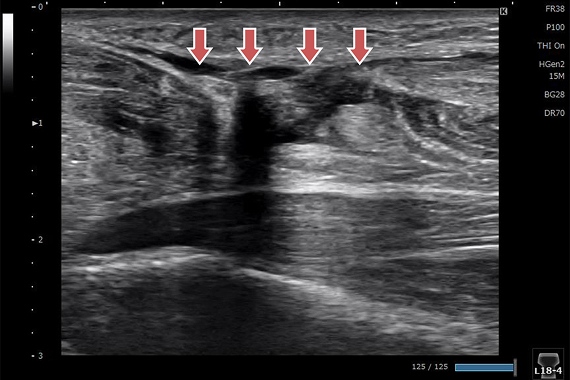
肩腱板断裂

腱板断裂がはっきりわかります。

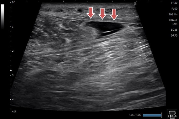
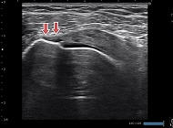
肋骨骨折

レントゲンでは肋骨骨折の評価は難しいですが、エコーでははっきりわかります。

肉離れ
(腓腹筋)

診断だけでなく、治癒過程も評価できます。

アキレス腱断裂

診断だけでなく、動的評価、治癒過程も評価できます。